今回は、スポーツ現場で生じる怪我に関する用語について整理していきたいと思います。
・スポーツ外傷
・スポーツ障害
・スポーツ傷害
これら3つの言葉の意味は、それぞれ異なります。
今後、様々な投稿の中で頻回に登場する用語なので、各用語の意味をキチンと理解して正しく使い分けていきましょう。
スポーツ外傷とは?

日本整形外科学会では、「スポーツ外傷」に関して次のように述べられています。
スポーツ活動中、身体に急激な大きな力が加わっておこる不慮のケガを「スポーツ外傷」と言います。
スポーツ外傷とスポーツ傷害,日本整形外科学会(2022年2月26日参照)
https://www.joa.or.jp/public/sick/condition/athletic_injury.html
具体的には、転倒・衝突・急な方向転換のように大きな力が一度に加わって生じる以下のようなケガの事です。
・脱臼
・骨折
・靭帯損傷
・筋損傷
・皮膚の損傷(切創・擦過傷・列挫傷・刺傷・咬傷)
スポーツ障害とは?

一方スポーツ障害に関して、同じく日本整形外科学会は以下のように述べられています。
スポーツ動作の繰り返しによって身体の特定部位(骨、筋肉、靱帯)が酷使されることによっておこるものを「スポーツ障害」と言います。
スポーツ外傷とスポーツ傷害,日本整形外科学会(2022年2月26日参照)
https://www.joa.or.jp/public/sick/condition/athletic_injury.html
スポーツ外傷のように一度に大きな力が加わる事がなくても、同じ部位に長時間負荷が加わり続ける事で組織の損傷が引き起こされます。
具体的には、以下のような怪我が例として挙げられます。
・テニス肘(外側上顆炎)
・野球肘(離断性骨軟骨炎)
・ジャンパー膝(膝蓋靭帯炎)
・ランナー膝(腸脛靭帯炎)
・フットボーラーズ アンクル(衝突性外骨腫)
・疲労骨折
正式な診断名が「~炎」となっており、慢性的な負荷により組織の炎症が生じている状態が多くみられます。
また、特定の動作の繰り返しによって生じる損傷であるため「競技名や動作を元にした通称」がある事が多いです。
スポーツ傷害とは?
スポーツ傷害とは、ここまで説明してきた「スポーツ外傷」と「スポーツ障害」を合わせた総称の事です。
実際のスポーツ現場では、スポーツ外傷とスポーツ障害を明確に分けられない事が多々あります。
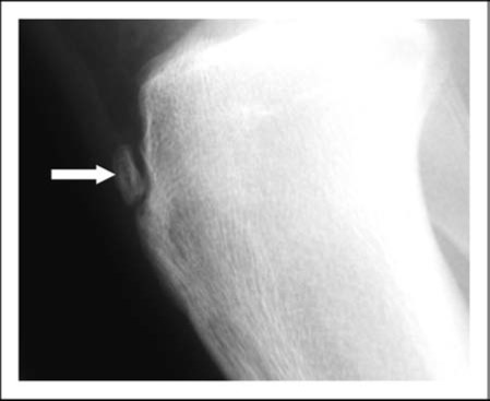
例えば、小学生のミニバスケットボールの試合中に男の子がジャンプの際に急に膝を痛めたとします。
病院でレントゲンを撮影したところ、下のような状態でした。

膝の前面に骨片が存在していました。「ジャンプの際に急に痛みが出た」という部分に着目すると、これはジャンプの大きな力によって生じた「スポーツ外傷」と考えられます。
しかし、たかが一回のジャンプの衝撃だけで、骨折してしまうのでしょうか?
やはり実際の話は単純ではありません。実は、この男の子は元々オスグッド病と呼ばれる「スポーツ障害」を抱えていました。

https://www.zamst.jp/tetsujin/knee/osgood-disease/
こんな感じで、お膝の下に骨のでっぱりが出来ている人、スポーツしている子供によくみられるのではないでしょうか?

成長期において、骨の成熟が完了していない為、ジャンプなどの負荷が加わり続けると、膝のお皿の下の靭帯(膝蓋靭帯)に骨が牽引される負担がかかり続け、徐々に炎症や骨の変形が生じます。
この選手は元々スポーツを続ける中で、慢性的に骨に負担が加わり続けていました。
変形した骨の部分に痛みはあったかもしれませんが、スポーツや日常生活に支障はないレベルだったのだと考えられます。
そして、あくまで「ジャンプがきっかけとなって」膝に強い痛みを感じたという事です。
では、この男の子の怪我は「スポーツ外傷」なのか「スポーツ障害」なのか、どちらなのか?
これは誰にも分からないと私は思いますし、あえて区別する必要もないのではないかと思います。
このように、実際のスポーツ現場ではスポーツ外傷とスポーツ障害が明確に区別できない場合が多くみられます。
ただ、外傷・傷害どちらの面からも怪我の原因を考えていく事で、その後の対応をより良いものに出来ると私は考えています。
先ほどの例も、ついつい偏った考え方をしてしまいがちです。
・怪我のきっかけ(スポーツ外傷)だけに注目してしまう
・診断名や元の背景(スポーツ障害)だけに注目してしまう
これも一種のバイアスに捕らわれていると言えるのではないでしょうか?
そういった面から、私はスポーツ現場における怪我を大きくとらえた「スポーツ傷害」という言葉を大事にしたいと考えています。
さいごに
今回は用語の定義の整理なので、ザックリとまとめさせて頂きました。
スポーツ外傷
スポーツ障害
スポーツ傷害
この3つは、おそらく当ブログの中で度々出てくる用語かと思います。
正直、私もよく間違えたり勘違いして用語を使ってしまう事があるので苦笑
「この使い方、合ってる?」と思ったらコメント頂けると幸いです。